ORIGINAL RESEARCH article
Front. Pediatr.
Sec. Pediatric Oncology
Childhood Lymphadenopathy: Ultrasonographic Predictors of Malignancy in a Retrospective Cohort of 500 Patients
Provisionally accepted- Adana City Training and Research Hospital, Ministry of Health (Turkey), Adana, Türkiye
Select one of your emails
You have multiple emails registered with Frontiers:
Notify me on publication
Please enter your email address:
If you already have an account, please login
You don't have a Frontiers account ? You can register here
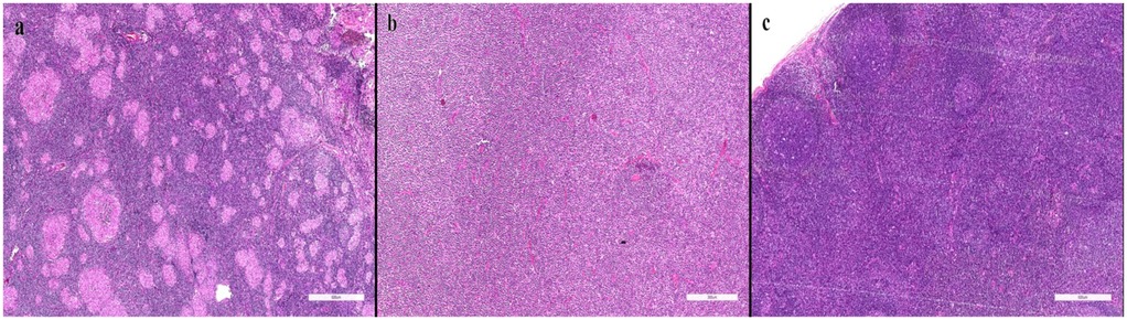
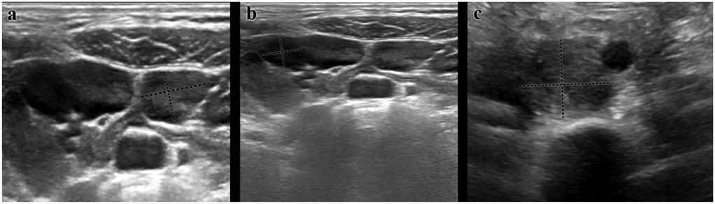
Pediatric lymphadenopathy is common, yet distinguishing benign from malignant causes remains challenging; objective predictors are needed to refine biopsy decisions. We retrospectively analyzed 500 children (0–18 years) with regional enlarged lymph nodes evaluated at a tertiary pediatric hematology–oncology clinic (June 2024–March 2025). Demographics, node location and size, multiplicity, ultrasonographic (US) assessment, viral tests, biopsy, and bone marrow results were extracted from the hospital system. Associations with definitive diagnosis were tested, and multivariable logistic regression identified independent predictors of malignancy. Median age was 6 years; cervical nodes were most frequent (92.2%), and multiple nodes were present in 93.6%. Biopsy was performed in 47 patients, yielding malignancy in 23 (48.9%). Final diagnoses were reactive lymphadenopathy (87.4%), hematologic malignancy (4.4%), and metastatic solid tumors (1.4%). On univariable analyses, larger size (≥2 cm), multiplicity, and certain regions were associated with malignancy (p<0.05). However, in multivariable analysis only US findings remained independently predictive: nodes categorized as suspicious on US were associated with an approximately 56-fold increase in the odds of malignancy (adjusted OR ≈55.6; 95% CI ≈14.3–200; p<0.001), whereas size and anatomical region were not significant. These data support an ultrasound-centered approach to biopsy referral in childhood lymphadenopathy, potentially reducing unnecessary invasive procedures while maintaining timely detection of malignant disease.
Keywords: lymphadenopathy, malignancy, Pediatrics, ultrasound, Lymphoma
Received: 10 Jul 2025; Accepted: 10 Oct 2025.
Copyright: © 2025 Çalışkan Kamış and Yağcı. This is an open-access article distributed under the terms of the Creative Commons Attribution License (CC BY). The use, distribution or reproduction in other forums is permitted, provided the original author(s) or licensor are credited and that the original publication in this journal is cited, in accordance with accepted academic practice. No use, distribution or reproduction is permitted which does not comply with these terms.
* Correspondence: Şule Çalışkan Kamış, sulecaliskan87@yahoo.com
Disclaimer: All claims expressed in this article are solely those of the authors and do not necessarily represent those of their affiliated organizations, or those of the publisher, the editors and the reviewers. Any product that may be evaluated in this article or claim that may be made by its manufacturer is not guaranteed or endorsed by the publisher.
