CASE REPORT article
Front. Pediatr.
Sec. Pediatric Infectious Diseases
This article is part of the Research TopicTuberculosis and Immune RegulationView all 4 articles
Atypical Extensive orbitofacial tuberculosis to the skull base and cavernous sinus revealing a major histocompatibility complex class II deficiency in an 11-year-old girl : a case report
Provisionally accepted- Military Hospital of Tunis, Tunis, Tunisia
Select one of your emails
You have multiple emails registered with Frontiers:
Notify me on publication
Please enter your email address:
If you already have an account, please login
You don't have a Frontiers account ? You can register here
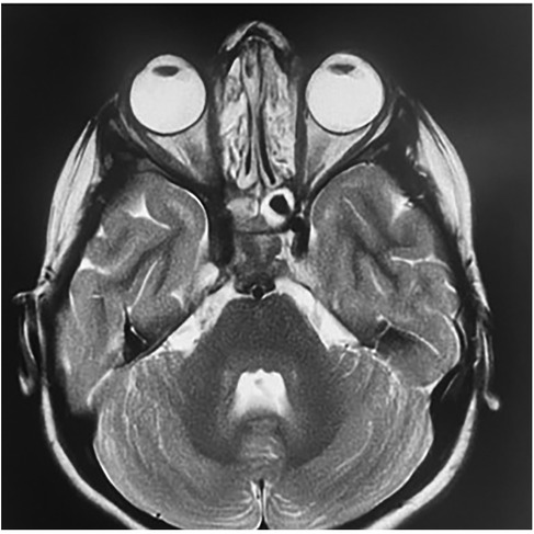
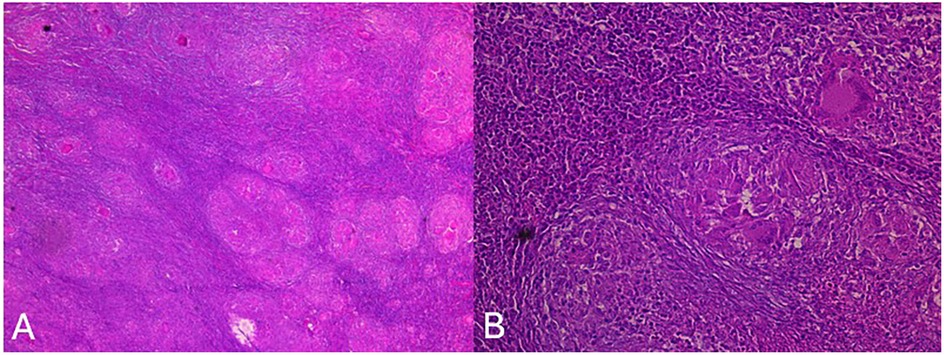
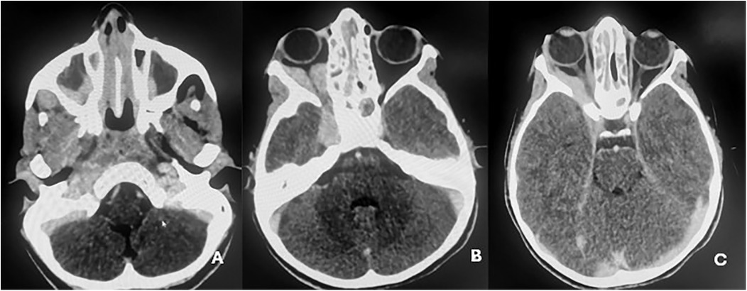
Background : Cavernous sinus tuberculosis is an extremely rare manifestation of central nervous system tuberculosis in children, with only two cases reported worldwide. It can mimic malignancy or other inflammatory conditions. Its occurrence in children with primary immunodeficiency, particularly major histocompatibility complex (MHC) class II deficiency, has not yet been described. Case report : We report an 11-year-old girl with a history of recurrent infections and chronic otitis media. She presented with right orbital swelling, severe headaches, and exophthalmos. Imaging revealed an extensive mass in the sinonasal and orbital regions, extending to the skull base and cavernous sinus. Computed tomography–guided biopsy and histopathology, supported by PCR testing for Mycobacterium tuberculosis, confirmed extensive orbital and cervicofacial tuberculosis. Immunological evaluation and genetic analysis revealed familial MHC class II deficiency. The patient received antituberculous therapy (HRZE followed by HR), leading to clinical and radiologic improvement. She continues intravenous immunoglobulin replacement every 21 days while awaiting bone marrow transplantation. Conclusions : This case highlights the importance of considering tuberculosis in atypical cavernous sinus lesions in children, especially in endemic regions. Severe or unusual infections should prompt evaluation for underlying immunodeficiency.
Keywords: Cavernous Sinus, MHC class II deficiency, pediatric case report, Orbital tuberculosis, paranasal sinus tuberculosis
Received: 10 Jul 2025; Accepted: 09 Oct 2025.
Copyright: © 2025 Mezri, Amri, Essghaier, Tlili, Rabhi, Marmouri and Barakizou. This is an open-access article distributed under the terms of the Creative Commons Attribution License (CC BY). The use, distribution or reproduction in other forums is permitted, provided the original author(s) or licensor are credited and that the original publication in this journal is cited, in accordance with accepted academic practice. No use, distribution or reproduction is permitted which does not comply with these terms.
* Correspondence: Sameh  Mezri, samehmezri@yahoo.fr
Disclaimer: All claims expressed in this article are solely those of the authors and do not necessarily represent those of their affiliated organizations, or those of the publisher, the editors and the reviewers. Any product that may be evaluated in this article or claim that may be made by its manufacturer is not guaranteed or endorsed by the publisher.
