CASE REPORT article
Front. Pediatr.
Sec. Pediatric Infectious Diseases
This article is part of the Research TopicNew Discoveries and Challenges in Pediatric Infectious Diseases: Epidemiological, Clinical, and Pathogenic AdvancesView all 6 articles
Congenital Neurosyphilis Presenting as Post-Hemorrhagic Hydrocephalus in a Preterm Infant
Provisionally accepted- 1Bambino Gesù Children's Hospital (IRCCS), Rome, Italy
- 2Istituto Nazionale Malattie Infettive Lazzaro Spallanzani, Rome, Italy
- 3Azienda Ospedaliera di Cosenza, Cosenza, Italy
- 4Saint Camillus International University of Health and Medical Sciences, Rome, Italy
Select one of your emails
You have multiple emails registered with Frontiers:
Notify me on publication
Please enter your email address:
If you already have an account, please login
You don't have a Frontiers account ? You can register here
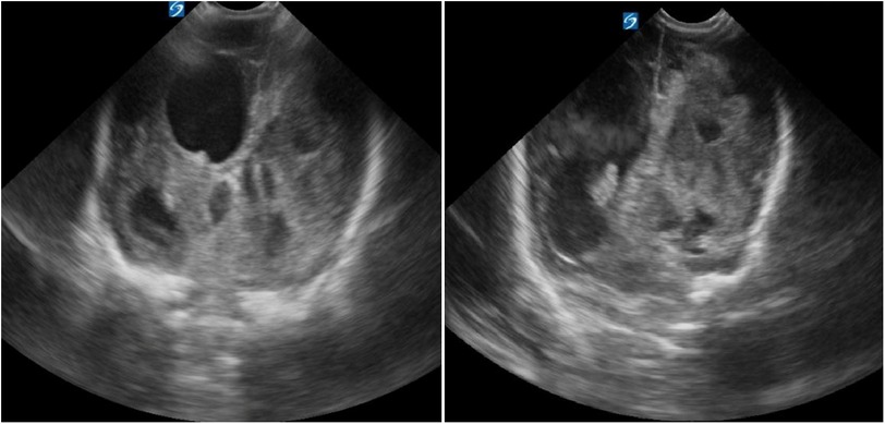
ABSTRACT Background: Congenital syphilis (CS) remains a global public health concern, with rising incidence even in high-income countries. In Italy, a higher risk has been reported among primigravidae and younger mothers with late or missed prenatal screening. While neurological involvement in CS is well known, it is rarely reported in preterm infants, where it may be severe and atypical. Case Presentation A male preterm infant, delivered at 32 weeks via emergency cesarean due to abnormal fetal monitoring and breech position, was admitted to our NICU with intraventricular hemorrhage, midline shift, and hydrocephalus, requiring neurosurgery. He later developed a metaphyseal bone lesion; Staphylococcus aureus was found in blood cultures. Despite antibiotics, persistent thrombocytopenia and infectious symptoms led to further testing, revealing congenital syphilis with neurological involvement and osteomyelitis and osteochondritis of the distal ulna and radio from an undetected maternal treponemal infection during pregnancy. Penicillin therapy produced slow recovery, but the newborn developed epilepsy and spastic tetraplegia by 24 months. Genetic and metabolic tests were negative. Literature review rarely shows similar CS cases, especially in preterm infants. Conclusion: This case highlights the relevance of universal maternal syphilis screening and early neonatal evaluation. Maternal Treponema pallidum infection during pregnancy can result in preterm birth and may be associated with neurological complications, such as hemorrhages, seizures, and motor impairment, which can require multidisciplinary management and long-term follow-up.
Keywords: Congenital syphilis, Ventriculomegaly, neurodevelopmental outcome, prematurity, Preterm newborn, review, case report
Received: 30 Jul 2025; Accepted: 28 Oct 2025.
Copyright: © 2025 De Rose, Martini, Ronchetti, Longo, Guarnera, Santisi, Carrara, De Benedictis, Cortazzo, Perno, Bonanno, DOTTA and Auriti. This is an open-access article distributed under the terms of the Creative Commons Attribution License (CC BY). The use, distribution or reproduction in other forums is permitted, provided the original author(s) or licensor are credited and that the original publication in this journal is cited, in accordance with accepted academic practice. No use, distribution or reproduction is permitted which does not comply with these terms.
* Correspondence: Maria Paola Ronchetti, mariapaola.ronchetti@opbg.net
Disclaimer: All claims expressed in this article are solely those of the authors and do not necessarily represent those of their affiliated organizations, or those of the publisher, the editors and the reviewers. Any product that may be evaluated in this article or claim that may be made by its manufacturer is not guaranteed or endorsed by the publisher.
