CASE REPORT article
Front. Pediatr.
Sec. Pediatric Infectious Diseases
This article is part of the Research TopicDeveloping brain in neonatal stage: mechanism, prediction and interventionView all 3 articles
Challenging Neonatal Central Nervous System Fungal Infection Diagnosed by MRI: A Case Report
Provisionally accepted- 1faculty of medicine, Al-Quds University, Jerusalem, Palestine
- 2Department of Radiology, Ahil Hospital, Hebron, Palestine
- 3Department of Pediatrics Neurology, Hebron University, Hebron, Palestine
Select one of your emails
You have multiple emails registered with Frontiers:
Notify me on publication
Please enter your email address:
If you already have an account, please login
You don't have a Frontiers account ? You can register here
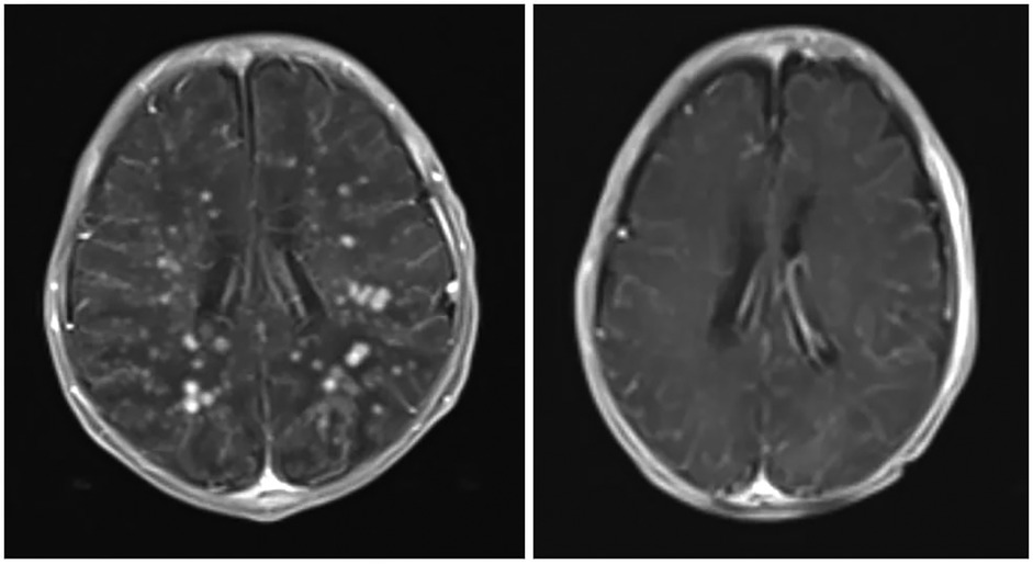
Abstract Background: Although central nervous system fungal infection (CNSF) is uncommon, it is a life-threatening condition that requires prompt diagnosis and management. Here, we report a full-term female neonate with suspected CNSF diagnosed by magnetic resonance imaging (MRI) despite repeatedly negative cerebrospinal fluid (CSF) and blood cultures, in whom the causative pathogen could not be identified. Case presentation: A full-term female neonate presented on the first day of life with irritability, hypoactivity, cyanosis, poor feeding, and two episodes of generalized tonic–clonic seizures with up-rolling of the eyes and lip smacking. Workup for neonatal sepsis showed negative CSF and blood cultures. MRI findings suggested CNSF, and treatment was initiated with low-dose conventional amphotericin B deoxycholate (0.5 mg/kg/day) for 4 weeks, leading to complete clinical and radiological resolution. Conclusion: Negative CSF and blood cultures do not exclude neonatal CNSF. In resource-limited settings, MRI findings together with clinical response to antifungal therapy may support a diagnosis of probable CNSF even when the pathogen is not identified and standard high-dose regimens are not available.
Keywords: Central Nervous System, Fungal Infection, Magnetic Resonance Imaging, neonate, MRI
Received: 23 Aug 2025; Accepted: 19 Nov 2025.
Copyright: © 2025 Shatrit, Deeb, Tamimi, I. Smerat and Alzatari. This is an open-access article distributed under the terms of the Creative Commons Attribution License (CC BY). The use, distribution or reproduction in other forums is permitted, provided the original author(s) or licensor are credited and that the original publication in this journal is cited, in accordance with accepted academic practice. No use, distribution or reproduction is permitted which does not comply with these terms.
* Correspondence: Salahaldeen Deeb, salahdeeb2001@gmail.com
Disclaimer: All claims expressed in this article are solely those of the authors and do not necessarily represent those of their affiliated organizations, or those of the publisher, the editors and the reviewers. Any product that may be evaluated in this article or claim that may be made by its manufacturer is not guaranteed or endorsed by the publisher.
