CASE REPORT article
Front. Pediatr.
Sec. Pediatric Critical Care
Successful Weaning After 113 Days of VV-ECMO in a Pediatric Patient with Severe ARDS Following Stevens-Johnson Syndrome, A Case Report
Provisionally accepted- 1LMU Munich University Hospital, Department of pediatric cardiology and intensive care, Munich, Germany
- 2LMU Munich University Hospital, department of surgery of congenital heart defects, Munich, Germany
- 3LMU Munich University Hospital, Department of thoracic transplantation in children, Munich, Germany
Select one of your emails
You have multiple emails registered with Frontiers:
Notify me on publication
Please enter your email address:
If you already have an account, please login
You don't have a Frontiers account ? You can register here
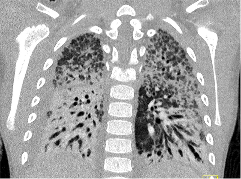
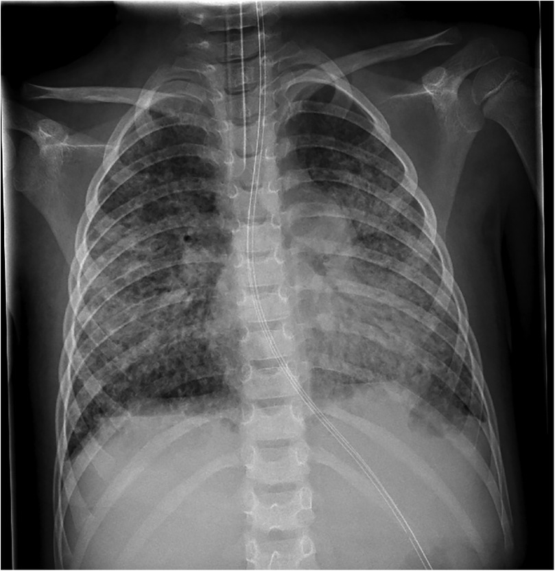
Veno-venous extracorporeal membrane oxygenation (VV-ECMO) is an established rescue therapy for severe pediatric ARDS, but prolonged support is rarely reported. We describe a previously healthy 6-year-old boy who developed Stevens-Johnson syndrome, complicated by progressive respiratory failure and severe ARDS. Despite maximal ventilation, oxygenation remained insufficient, and VV-ECMO was initiated on day 11 of illness. Cannulation was performed via jugular and femoral access, followed by lung-protective ventilation, repeated surfactant administration, corticosteroid therapy according to the Meduri protocol, and ACE inhibitor therapy. ECMO support was complicated by pulmonary fibrosis, cholestatic liver dysfunction with secondary hemochromatosis, and prolonged sedation-associated delirium with subsequent critical illness polyneuropathy. A first attempt to discontinue ECMO after 90 days failed due to presumed pulmonary embolism, requiring recannulation. Ultimately, successful weaning was achieved after 113 days of VV-ECMO. The patient was transferred to a specialized pulmonary and neurological rehabilitation center and discharged home after six months, still dependent on a tracheostomy cannula. At 18-month follow-up, he requires only nocturnal mechanical ventilation through the tracheostomy, attends school, and leads an otherwise normal life. A trial removal of the cannula and closure of the stoma is scheduled for spring 2026. This case illustrates that prolonged VV-ECMO can allow lung recovery in pediatric patients with ARDS secondary to SJS, despite complications. Careful multidisciplinary management and preserved neurological function were key factors supporting long-term survival.
Keywords: pediatric acute respiratory distress, Extracorporeal Membrane Oxygenation, Stevens-Johnson Syndrome, prolonged ECMO weaning, case report
Received: 24 Aug 2025; Accepted: 10 Nov 2025.
Copyright: © 2025 Beil, Hermann, Haas, Dalla-Pozza, Michel, Jakob, Fischer and Pattathu. This is an open-access article distributed under the terms of the Creative Commons Attribution License (CC BY). The use, distribution or reproduction in other forums is permitted, provided the original author(s) or licensor are credited and that the original publication in this journal is cited, in accordance with accepted academic practice. No use, distribution or reproduction is permitted which does not comply with these terms.
* Correspondence: Korbinian Beil, korbinian.beil@gmail.com
Disclaimer: All claims expressed in this article are solely those of the authors and do not necessarily represent those of their affiliated organizations, or those of the publisher, the editors and the reviewers. Any product that may be evaluated in this article or claim that may be made by its manufacturer is not guaranteed or endorsed by the publisher.
