CASE REPORT article
Front. Pediatr.
Sec. Pediatric Surgery
Combined Surgical and Endovascular Treatment of Congenital Bilateral Femoral Arteriovenous Fistulas in a Child: A Case Report
Provisionally accepted- 1Interventional Radiology, Guangzhou Medical University Guangzhou Women and Children's Medical Center, Guangzhou, China
- 2Department of Pediatric Surgery, Guangzhou Medical University Guangzhou Women and Children's Medical Center, Guangzhou, China
Select one of your emails
You have multiple emails registered with Frontiers:
Notify me on publication
Please enter your email address:
If you already have an account, please login
You don't have a Frontiers account ? You can register here
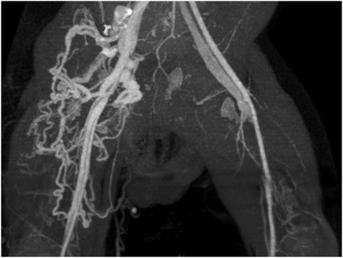
Background: Congenital arteriovenous fistulas (AVFs) are rare, particularly those involving the bilateral femoral arteriovenous system in an infant. This case report details the successful management of this condition using a combined therapeutic approach. Case Presentation: We report the case of a 6-month-old boy who presented with a congenital bilateral femoral arteriovenous fistula, which led to symptoms of fatigue, shortness of breath, and recurrent pneumonia. The patient was successfully treated with a combined therapeutic approach of surgical ligation on the left side and endovascular coil embolization on the right. At the 10-year follow-up, the patient's clinical and echocardiographic status remained normal. The imaging surveillance protocol included regular duplex ultrasound examinations, which confirmed sustained occlusion of both fistulas with no residual dilated veins in the right thigh. The patient remains asymptomatic with no evidence of recurrence. Conclusion: This case highlights the importance of a tailored, combined-modality approach for complex congenital AVFs, especially when the fistulas on each side possess different anatomical characteristics. The specific morphology of the fistula is a critical determinant in choosing the optimal treatment strategy to ensure complete closure and prevent long-term complications such as high-output cardiac failure. This approach serves as a valuable clinical reference for the management of similar complex vascular anomalies in the pediatric population.
Keywords: Arteriovenous Fistula, case report, Combined treatment approach, Surgical, endovascular treatment
Received: 10 Sep 2025; Accepted: 31 Oct 2025.
Copyright: © 2025 Xia, Zhang, chen, Wen, Huang and li. This is an open-access article distributed under the terms of the Creative Commons Attribution License (CC BY). The use, distribution or reproduction in other forums is permitted, provided the original author(s) or licensor are credited and that the original publication in this journal is cited, in accordance with accepted academic practice. No use, distribution or reproduction is permitted which does not comply with these terms.
* Correspondence: Haibo  li, lihaibo293@163.com
Disclaimer: All claims expressed in this article are solely those of the authors and do not necessarily represent those of their affiliated organizations, or those of the publisher, the editors and the reviewers. Any product that may be evaluated in this article or claim that may be made by its manufacturer is not guaranteed or endorsed by the publisher.
