CASE REPORT article
Front. Pediatr.
Sec. Pediatric Surgery
Gastric volvulus and wandering spleen in Pitt-Hopkins syndrome: first paediatric case report
Provisionally accepted- 1Azienda Ospedaliera San Camillo Forlanini, Rome, Italy
- 2Universita degli Studi di Siena, Siena, Italy
Select one of your emails
You have multiple emails registered with Frontiers:
Notify me on publication
Please enter your email address:
If you already have an account, please login
You don't have a Frontiers account ? You can register here
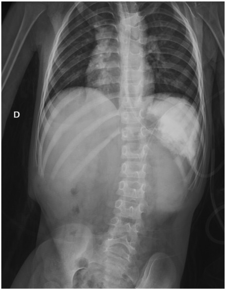
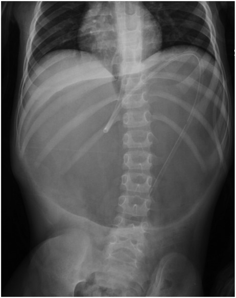
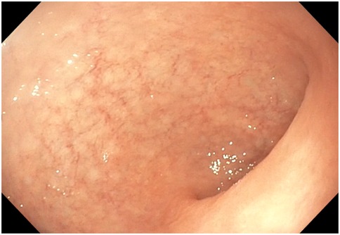
Background Acute gastric volvulus is a rare condition in children, and a delay in diagnosis may lead to gastric ischemia, perforation and even death. It is sometimes associated with wandering spleen, a condition where the spleen migrates from its normal anatomical position due to the absence of fixation ligaments. We report the first case of a patient affected by Pitt-Hopkins syndrome with simultaneous acute gastric volvulus and wandering spleen. Case report A 6-year-old male affected by Pitt-Hopkins syndrome, was urgently referred for acute abdominal pain and 24-hour history of non-bilious and non-bloody emesis. X-ray showed a massive gastric dilatation. Upper gastrointestinal series (UGI) revealed a gastric outlet obstruction. An emergency laparoscopy revealed a gastric mesoaxial volvulus with hypotonic wall with no sign of ischemia or perforation associated with a wondering spleen. Gastropexy was performed by anchoring the gastric greater curvature to the anterior abdominal wall covering the spleen in a good position in the left upper abdomen, completely covered by the gastric fundus. The patient made uneventful recovery and was completely asymptomatic. Conclusion To our knowledge, this is the first case of simultaneous gastric volvulus and wandering spleen in a patient affected by Pitt-Hopkins syndrome. Laparoscopic gastropexy is an easy procedure and combines the advantages of all surgical techniques adopted in previous eras.
Keywords: Gastric volvulus, Wandering Spleen, Pitt-Hopkins syndrome, Laparoscopic gastropexy, Paediatric surgery case report
Received: 15 Sep 2025; Accepted: 05 Nov 2025.
Copyright: © 2025 Vasta, Angotti, Contini, Perrotta, Molinaro, Tarallo, Plessi and Briganti. This is an open-access article distributed under the terms of the Creative Commons Attribution License (CC BY). The use, distribution or reproduction in other forums is permitted, provided the original author(s) or licensor are credited and that the original publication in this journal is cited, in accordance with accepted academic practice. No use, distribution or reproduction is permitted which does not comply with these terms.
* Correspondence: Gabriele Vasta, gabriele.vasta@hotmail.it
Disclaimer: All claims expressed in this article are solely those of the authors and do not necessarily represent those of their affiliated organizations, or those of the publisher, the editors and the reviewers. Any product that may be evaluated in this article or claim that may be made by its manufacturer is not guaranteed or endorsed by the publisher.
