CASE REPORT article
Front. Pediatr.
Sec. Neonatology
Primary Segmental Volvulus in an Infant
Provisionally accepted- 1West China Children's Medical Center, West China Second University Hospital, Sichuan University, Chengdu, China
- 2West China Hospital of Sichuan University, Chengdu, China
Select one of your emails
You have multiple emails registered with Frontiers:
Notify me on publication
Please enter your email address:
If you already have an account, please login
You don't have a Frontiers account ? You can register here
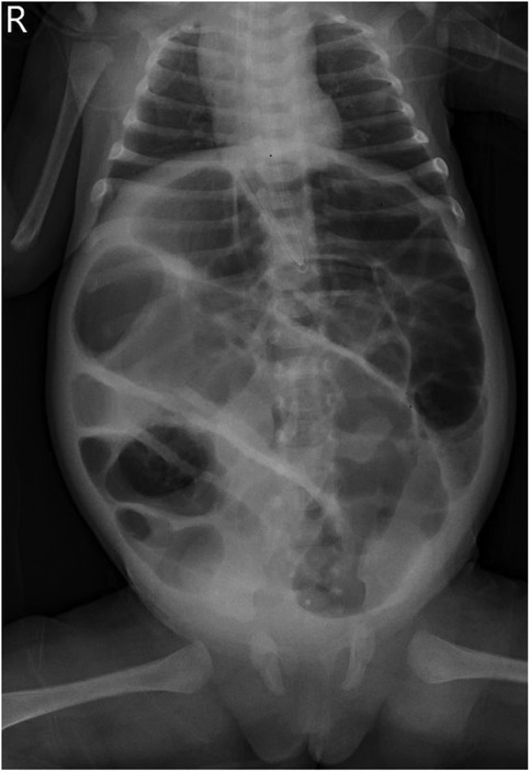
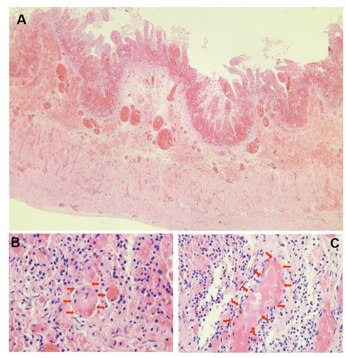
Primary segmental volvulus (PSV) is a rare cause of acute abdomen in infants. It is characterized by a form of strangulated intestinal obstruction requiring prompt diagnosis and surgical intervention. This study aimed to report a case of PSV in an infant, which was managed successfully through early recognition, close clinical monitoring, and timely surgical treatment. Although both blood and ascitic fluid cultures were negative postoperatively, metagenomic next-generation sequencing (mNGS) identified the same pathogen in both specimens, enabling targeted antibiotic therapy. This case highlights the importance of including PSV in the differential diagnosis of infants presenting with unexplained abdominal distension and bilious vomiting, particularly when accompanied by anemia. Additionally, the elevated level of the coagulation system biomarker thrombin–antithrombin complex (TAT) may serve as a useful marker for monitoring coagulation status in the perioperative period. The integration of TAT assessment and mNGS-based pathogen identification provides a novel framework for individualized perioperative management in PSV.
Keywords: Infant, case report, Intestinal Diseases, Volvulus, Thrombin-antithrombin complex
Received: 17 Sep 2025; Accepted: 27 Oct 2025.
Copyright: © 2025 Wang, Jiang, Wu and Zhang. This is an open-access article distributed under the terms of the Creative Commons Attribution License (CC BY). The use, distribution or reproduction in other forums is permitted, provided the original author(s) or licensor are credited and that the original publication in this journal is cited, in accordance with accepted academic practice. No use, distribution or reproduction is permitted which does not comply with these terms.
* Correspondence: Li Zhang, zlhxey@scu.edu.cn
Disclaimer: All claims expressed in this article are solely those of the authors and do not necessarily represent those of their affiliated organizations, or those of the publisher, the editors and the reviewers. Any product that may be evaluated in this article or claim that may be made by its manufacturer is not guaranteed or endorsed by the publisher.
