CASE REPORT article
Front. Pediatr.
Sec. Pediatric Orthopedics
This article is part of the Research TopicPediatric Trauma and Critical Care: From Basic to ClinicView all articles
A Case of Neonatal Osteogenesis Imperfecta: Navigating Critical Care and Early Fracture Management through Multidisciplinary Collaboration
Provisionally accepted- Dongguan Children's Hospital, Guangdong Medical University, Dongguan, China
Select one of your emails
You have multiple emails registered with Frontiers:
Notify me on publication
Please enter your email address:
If you already have an account, please login
You don't have a Frontiers account ? You can register here
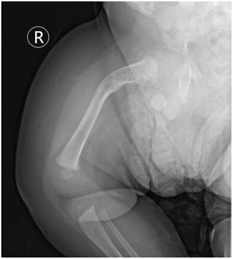
Background: Osteogenesis Imperfecta (OI) poses a unique challenge in pediatric trauma and critical care, where the fragility of bone intersects with life-threatening systemic complications, such as neonatal respiratory failure. The early postnatal period is particularly precarious, demanding a delicate balance between life support and fracture prevention. Case Presentation: A 9-day-old male neonate with prenatally diagnosed COL1A2 (c.1459G>A, p.Gly487Arg) mutation was admitted to our NICU for respiratory distress and pneumonia. He was the progeny of a father with OI, delivered via cesarean section at 34 weeks due to fetal skeletal deformities. Management and Outcomes: A proactive, multidisciplinary team (MDT) protocol was immediately implemented, focusing on non-invasive respiratory support, meticulous handling to prevent iatrogenic injury, and optimized nutrition. This approach successfully resolved his respiratory failure without any new fractures during the NICU stay. However, on the 16th day post-discharge, the infant sustained a spontaneous fracture of the right proximal femur. This was managed conservatively with a Pavlik harness. Follow-up revealed rapid callus formation by day 52 and complete union by day 136, showcasing the characteristic hyperplastic healing pattern of OI. Conclusion: This case underscores that a coordinated MDT approach is vital for stabilizing critically ill neonates with OI. The occurrence of a fracture shortly after discharge highlights the transition to home care as a period of extreme vulnerability. Empowering families with comprehensive education and ensuring continuity of care are as crucial as in-hospital management for improving long-term outcomes in these fragile infants.
Keywords: Osteogenesis Imperfecta, neonatal critical care, pediatric trauma, Multidisciplinary team, COL1A2 gene, Fracture Healing
Received: 02 Nov 2025; Accepted: 27 Nov 2025.
Copyright: © 2025 Xie, He, Wu, Xu, Li and He. This is an open-access article distributed under the terms of the Creative Commons Attribution License (CC BY). The use, distribution or reproduction in other forums is permitted, provided the original author(s) or licensor are credited and that the original publication in this journal is cited, in accordance with accepted academic practice. No use, distribution or reproduction is permitted which does not comply with these terms.
* Correspondence:
Ning Li
Xiaoguang He
Disclaimer: All claims expressed in this article are solely those of the authors and do not necessarily represent those of their affiliated organizations, or those of the publisher, the editors and the reviewers. Any product that may be evaluated in this article or claim that may be made by its manufacturer is not guaranteed or endorsed by the publisher.
