CASE REPORT article
Front. Pediatr.
Sec. Pediatric Otolaryngology
Rare Complication of Pharyngeal Penetration, Pneumomediastinum with Surgical Emphysema: Case Report
Provisionally accepted- 1Department of Pediatrics, Tawam Hospital, Al Ain, United Arab Emirates
- 2Department of Otolaryngology, Tawam Hospital, Al Ain, United Arab Emirates
- 3Department of Radiology, Tawam Hospital, Al Ain, United Arab Emirates
- 4Department of Otolaryngology, Sheikh Khalifa Hospital, Fujairah, United Arab Emirates
- 5Department of Pediatrics, United Arab Emirates University College of Medicine and Health Sciences, Al Ain, United Arab Emirates
Select one of your emails
You have multiple emails registered with Frontiers:
Notify me on publication
Please enter your email address:
If you already have an account, please login
You don't have a Frontiers account ? You can register here
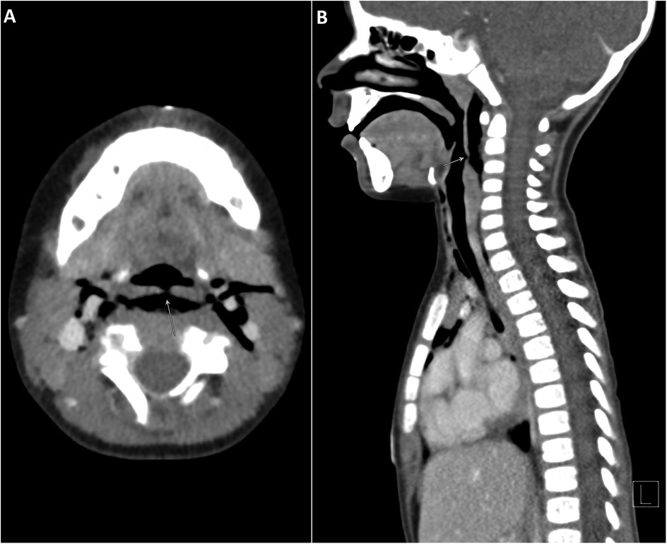
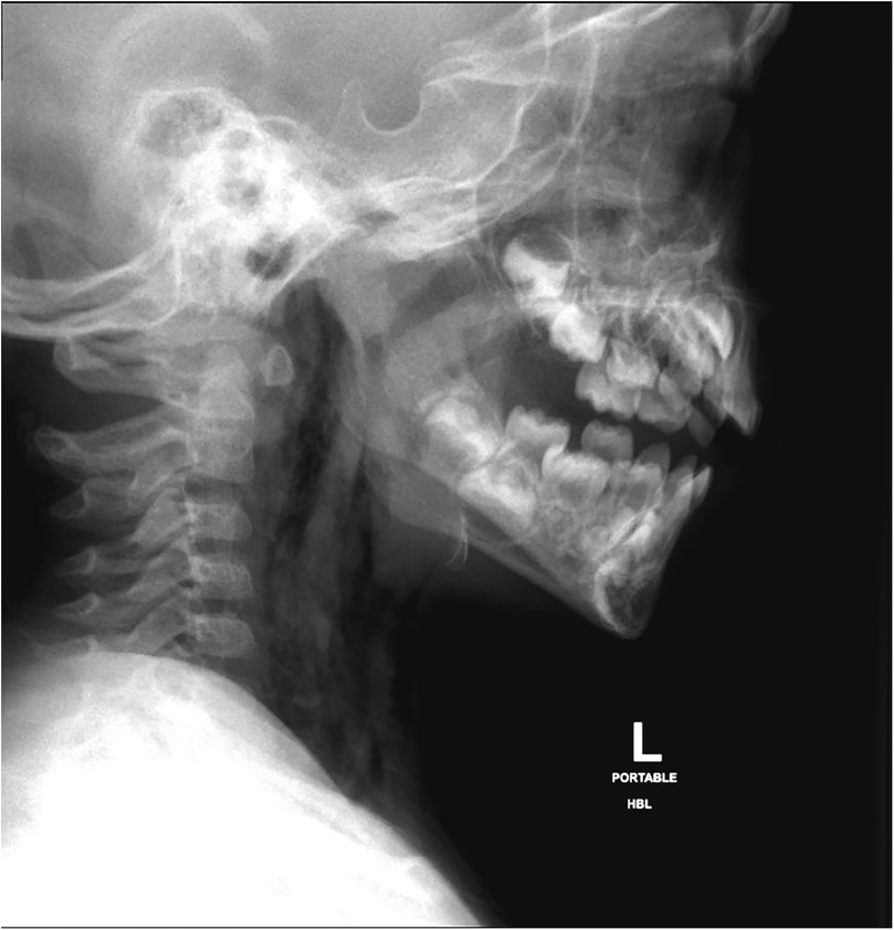
Oropharyngeal injuries in young children, though common, carry the potential risk of serious complications. Here, we describe a rare case of a toddler with a minor penetrating injury in the hypopharynx leading to perforation, surgical emphysema and pneumomediastinum. A 2-year-old boy was brought to the emergency department with noisy breathing and shortness of breath started after a traumatic injury with a pencil in the mouth. He was found to have tachycardia, tachypnea, grunting but no stridor or retractions. A brief oral exam showed a blackish discoloration in the posterior pharyngeal wall, and crepitations were palpated on the neck. Imaging revealed extensive subcutaneous emphysema and a defect in the posterior oropharyngeal wall. He underwent surgical repair of the pharyngeal defect and was later discharged in stable condition. This case highlights the need for vigilance in assessing oral impalement injuries in children, as such injuries can lead to significant complications. Early detection and management is crucial to prevent severe outcomes. The case underscores the importance of careful clinical and radiological evaluation in managing pediatric oral impalement injuries.
Keywords: pediatric trauma, Oropharyngeal injury, neck injury, Penetrating injury, Surgical emphysema
Received: 15 Jul 2025; Accepted: 13 Oct 2025.
Copyright: © 2025 Al Droubi, Alkatheeri, Salih, Alqaydi and Alsamri. This is an open-access article distributed under the terms of the Creative Commons Attribution License (CC BY). The use, distribution or reproduction in other forums is permitted, provided the original author(s) or licensor are credited and that the original publication in this journal is cited, in accordance with accepted academic practice. No use, distribution or reproduction is permitted which does not comply with these terms.
* Correspondence: Mohammed Taleb Alsamri, malsamri@seha.ae
Disclaimer: All claims expressed in this article are solely those of the authors and do not necessarily represent those of their affiliated organizations, or those of the publisher, the editors and the reviewers. Any product that may be evaluated in this article or claim that may be made by its manufacturer is not guaranteed or endorsed by the publisher.
