CASE REPORT article
Front. Pediatr.
Sec. Pediatric Urology
Penile Hamartoma with Penile Torsion in a Child: Etiology‑Targeted One‑Stage Surgical Correction and Literature Review
Provisionally accepted- 1Kunming Children's Hospital, Kunming, China
- 2First Affiliated Hospital of Kunming Medical University, Kunming, China
Select one of your emails
You have multiple emails registered with Frontiers:
Notify me on publication
Please enter your email address:
If you already have an account, please login
You don't have a Frontiers account ? You can register here
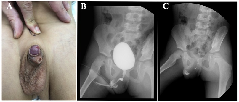
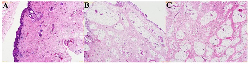
Background: Pediatric penile hamartoma is extremely rare. Preoperative imaging often cannot definitively characterize the lesion, and histopathology remains the diagnostic gold standard. We report a child with penile hamartoma and torsion, discuss management, and compare outcomes with the literature. Methods: We retrospectively analyzed the clinical presentation, imaging, intraoperative findings, and pathology. Relevant reports were reviewed for comparison. Results: Complete excision of a ventral hamartomatous appendage plus circumcision and release of a fibrous tethering band achieved immediate torsion correction in a single stage. Histopathology showed stratified squamous epithelium with proliferative fibrous and adipose tissue containing nerve bundles, ganglion cells, and focal smooth muscle— consistent with hamartoma. Recovery was uneventful; at 12 months no recurrence was observed. Conclusion: Etiology‑targeted, one‑stage correction—degloving (circumcision), release of tethering bands, complete lesion excision, and simultaneous torsion repair—can be safe and effective. Long‑term follow‑up is advised.
Keywords: Penis, Hamartoma, pediatric, Penile torsion, Surgery
Received: 29 Sep 2025; Accepted: 11 Nov 2025.
Copyright: © 2025 Yao, Zhanghuang, Zhou, Li, Hao, Yan and Zhao. This is an open-access article distributed under the terms of the Creative Commons Attribution License (CC BY). The use, distribution or reproduction in other forums is permitted, provided the original author(s) or licensor are credited and that the original publication in this journal is cited, in accordance with accepted academic practice. No use, distribution or reproduction is permitted which does not comply with these terms.
* Correspondence:
Chenghao Zhanghuang, 736564145@qq.com
Bing Yan, ybwcy@163.com
Hui Zhao, zhaohuikyfyy@126.com
Disclaimer: All claims expressed in this article are solely those of the authors and do not necessarily represent those of their affiliated organizations, or those of the publisher, the editors and the reviewers. Any product that may be evaluated in this article or claim that may be made by its manufacturer is not guaranteed or endorsed by the publisher.
