ORIGINAL RESEARCH article
Front. Public Health
Sec. Children and Health
This article is part of the Research TopicPrenatal Environmental and Genetic Interactions: An Exploration from Fetal Development to Child HealthView all 16 articles
Prevalence of Hypomineralized Second Primary Molar in Shaanxi, China
Provisionally accepted- Key laboratory of Shaanxi Province for Craniofacial Precision Medicine Research,College of Stomatology, Xi’an Jiaotong University, Xi'AN, China
Select one of your emails
You have multiple emails registered with Frontiers:
Notify me on publication
Please enter your email address:
If you already have an account, please login
You don't have a Frontiers account ? You can register here
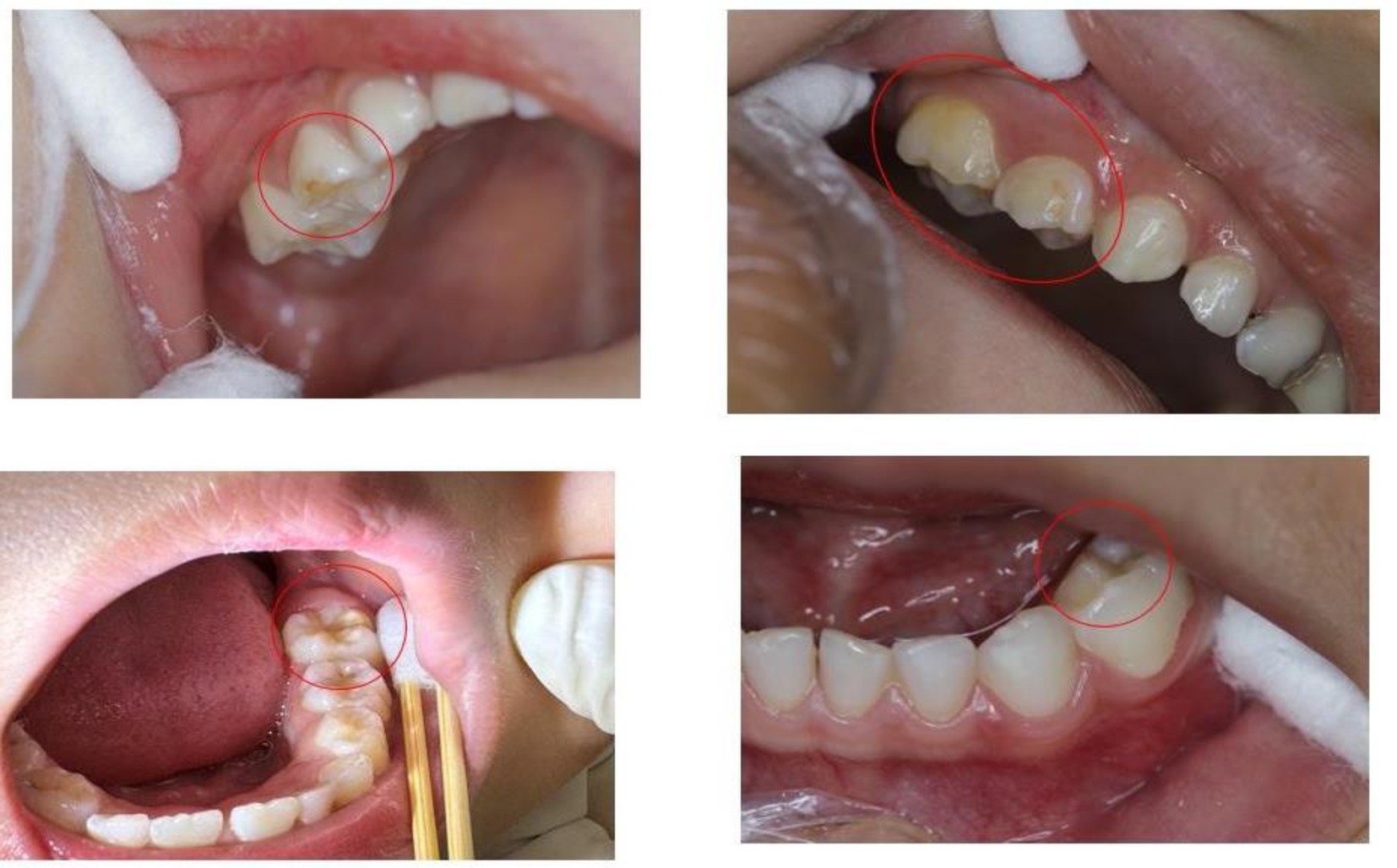
Objectives: This cross-sectional study aimed to determine the prevalence of Hypomineralized Second Primary Molar (HSPM) in 3–5-year-old children in Shaanxi Province, China, and identify its associated factors, with a specific focus on exploring the potential role of pregnancy vomiting that have been less studied previously. Results: A total of 1,022 questionnaires were distributed, with 1,015 valid ones collected from children in three cities. the sample included 48.97% males and 51.03% females, with regional distributions of 45.71% (Xi’an), 27.78% (Weinan), and 26.51% (Yan’an) of the sample. The overall prevalence of HSPM was 7.09%, showing differences by region and maternal education. Teeth with HSPM had a higher caries rate (55.6%) than those without (45.3%), though the difference was not significant. Univariate analysis linked HSPM to gestational age (p=0.022), asthma in the first year of life (p=0.03), measles (p=0.003) and maternal nausea (p=0.018), in the adjusted multivariable model, maternal education (bachelor’s degree, OR=0.297,95%CI: 0.122,0.72) and maternal vomiting(OR=1.694,95%CI: 1.027,2.795) associated with HSPM. Conclusions: The prevalence of HSPM in Shaanxi is within the global range, while maternal lower education level and pregnancy vomiting are key risk factors for HSPM. These findings provide novel insights for targeted prenatal interventions to prevent HSPM in preschool children.
Keywords: hypomineralized second primary molar, Prevalence, Pregnancyvomiting, Maternaleducation, Pediatric Dentistry
Received: 12 Sep 2025; Accepted: 29 Oct 2025.
Copyright: © 2025 Abdalla, Zhu, Zhang, Zhang, Huang, Guo, Zhang, Hu and Huang. This is an open-access article distributed under the terms of the Creative Commons Attribution License (CC BY). The use, distribution or reproduction in other forums is permitted, provided the original author(s) or licensor are credited and that the original publication in this journal is cited, in accordance with accepted academic practice. No use, distribution or reproduction is permitted which does not comply with these terms.
* Correspondence:
Xiao Hu, 2443531165@qq.com
Ruizhe Huang, huangrzh@xjtu.edu.cn
Disclaimer: All claims expressed in this article are solely those of the authors and do not necessarily represent those of their affiliated organizations, or those of the publisher, the editors and the reviewers. Any product that may be evaluated in this article or claim that may be made by its manufacturer is not guaranteed or endorsed by the publisher.
