ORIGINAL RESEARCH article
Front. Public Health
Sec. Environmental Health and Exposome
This article is part of the Research TopicIntegrated Risk Assessment of Environmental Pollutants in Food Systems: Exposure Pathways, Health Outcomes, and Public Health ImplicationsView all articles
Mercury exposure, epigenetic modifications, and genetic susceptibility: insights from molecular docking and population analysis
Provisionally accepted- 1Manash Kozybayev North Kazakhstan University, Petropavl, Kazakhstan
- 2National Testing Center, Astana, Kazakhstan, Astana, Kazakhstan
- 3East Siberian Institute of Medical and Ecological Research, Angarsk, Russia
- 4S Seifullin Kazakh Agro Technical Research University, Astana, Kazakhstan
- 5L N Gumilyov Eurasian National University, Astana, Kazakhstan
- 6West Kazakhstan Marat Ospanov Medical University, Aktobe, Kazakhstan
- 7Taipei Medical University, Taipei City, Taiwan
- 8Avicenna Tajik State Medical University, Dushanbe, Tajikistan
- 9West Kazakhstan Marat Ospanov State Medical University, Aktobe, Fars province, Kazakhstan
Select one of your emails
You have multiple emails registered with Frontiers:
Notify me on publication
Please enter your email address:
If you already have an account, please login
You don't have a Frontiers account ? You can register here
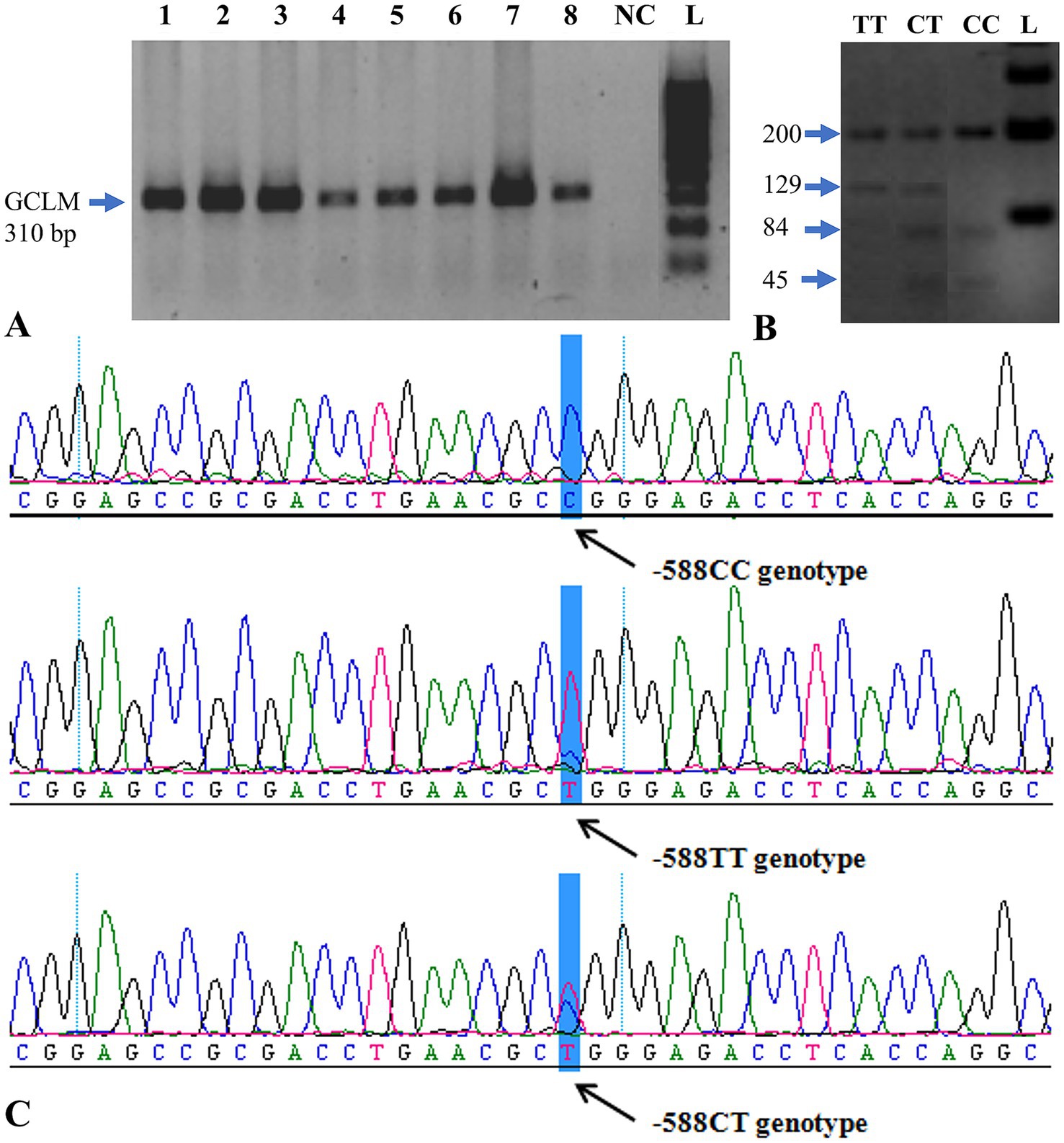
Mercury (Hg) is a major environmental contaminant and a pressing public health concern, especially in industrial regions where metallurgical activities release Hg into the environment. This study assessed genetic susceptibility to mercury toxicity among 180 residents of Temirtau (Kazakhstan) and 90 controls by analyzing GSTM1, GSTT1, GSTP1 (Ile105Val, rs1695), and GCLM (–588C/T, rs41303970) polymorphisms. Mercury concentrations were quantified in blood and hair samples using cold-vapor atomic absorption spectrometry, and dietary information was collected to identify major exposure routes. Genotyping was performed by PCR and PCR-RFLP methods. In a complementary molecular-docking analysis, methylmercury (MeHg) interactions with key epigenetic regulators—DNA methyltransferase 1 (DNMT1), histone deacetylases (HDAC1-6), and sirtuin 1 (SIRT1)—were modeled. Docking revealed moderate affinity of MeHg within catalytic domains of DNMT1 and HDAC isoforms, suggesting potential interference with DNA methylation and histone-modification processes. Individuals carrying GSTM1-null and GCLM variant genotypes exhibited higher Hg accumulation and oxidative-stress susceptibility. Although exposure levels were much lower than those observed in classical Minamata incidents, measurable subclinical effects and genotype–environment associations were evident. These findings highlight an oxidative-stress–driven, epigenetic-dysregulation mechanism underlying inter-individual variability in mercury toxicity and underscore the value of integrating genetic and molecular-modeling approaches for risk assessment in industrially exposed populations.
Keywords: Mercury, Environmental Exposure, Genetic polymorphism, Glutathionetransferase, toxicokinetics, Toxicodynamics, Public Health, Mining activities
Received: 21 Sep 2025; Accepted: 04 Nov 2025.
Copyright: © 2025 Serik, Shinetova, Efimova, Bekeeva, Abdrakhmanova, Dauletova, Suleimenova, Mussin, Zare, Safarzoda Sharoffidin and Tamadon. This is an open-access article distributed under the terms of the Creative Commons Attribution License (CC BY). The use, distribution or reproduction in other forums is permitted, provided the original author(s) or licensor are credited and that the original publication in this journal is cited, in accordance with accepted academic practice. No use, distribution or reproduction is permitted which does not comply with these terms.
* Correspondence: Amin Tamadon, amintamaddon@yahoo.com
Disclaimer: All claims expressed in this article are solely those of the authors and do not necessarily represent those of their affiliated organizations, or those of the publisher, the editors and the reviewers. Any product that may be evaluated in this article or claim that may be made by its manufacturer is not guaranteed or endorsed by the publisher.
