ORIGINAL RESEARCH article
Front. Toxicol.
Sec. Environmental Toxicology
This article is part of the Research TopicNew methods and approaches in toxicology of emerging environmental contaminantsView all 6 articles
Toxicity effects of cadmium and β-cypermethrin on zebrafish by single and combined exposure: oxidative stress and histopathological evaluation
Provisionally accepted- Hubei University of Arts and Science, Xiangyang, China
Select one of your emails
You have multiple emails registered with Frontiers:
Notify me on publication
Please enter your email address:
If you already have an account, please login
You don't have a Frontiers account ? You can register here
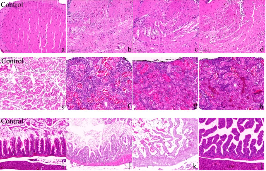
This study investigated the effects of cadmium (Cd) and β-cypermethrin (β-CP), both singly and in combination, on oxidative stress responses and tissue morphology in zebrafish. Through acute exposure experiments, we evaluated the acute toxicity and behavioral responses of zebrafish to these two compounds. The LC50 values of contaminants for zebrafish at 24h, 48h, 72h, and 96h were 25.36, 22.94, 20.36, and 17.83 mg/L for Cd, and 6.41, 4.96, 4.23, and 3.75 μg/L for β-CP, respectively. The results showed that β-CP exhibited higher acute toxicity compared to Cd, with pronounced toxic reactions including body curling, convulsions, accelerated operculum flapping, and significantly reduced swimming ability. In contrast, cadmium (Cd) elicited milder acute toxicity symptoms yet significantly disrupted key oxidative stress parameters, including superoxide dismutase (SOD), catalase (CAT), and malondialdehyde (MDA). During the chronic co-exposure phase, the combined treatment of Cd and β-cypermethrin (β-CP) resulted in more severe toxicity than individual exposures, as supported by marked bioaccumulation of both contaminants and extensive histopathological impairments—such as neuronal degeneration in the brain, hepatocyte necrosis in the liver, and villus atrophy in the intestine. Quantitative assessments further indicated that the co-exposure provoked the strongest oxidative stress response, with the highest increases observed during the acute phase—reaching up to 75% for SOD, 51% for CAT, and 52% for MDA relative to the control group (P < 0.05). This study revealed the severe toxic effects of combined exposure to Cd and β-CP on zebrafish, underscoring the need for increased attention to the potential ecological risks of heavy metal and pesticide pollution in aquatic environments.
Keywords: Zebrafish, Cadmium, β-cypermethrin, enzyme activity, Toxicity effect
Received: 27 Jul 2025; Accepted: 29 Oct 2025.
Copyright: © 2025 Fu, Yang, Zhang, Luo, Sun and Li. This is an open-access article distributed under the terms of the Creative Commons Attribution License (CC BY). The use, distribution or reproduction in other forums is permitted, provided the original author(s) or licensor are credited and that the original publication in this journal is cited, in accordance with accepted academic practice. No use, distribution or reproduction is permitted which does not comply with these terms.
* Correspondence: Kai Luo, kookay8@gmail.com
Disclaimer: All claims expressed in this article are solely those of the authors and do not necessarily represent those of their affiliated organizations, or those of the publisher, the editors and the reviewers. Any product that may be evaluated in this article or claim that may be made by its manufacturer is not guaranteed or endorsed by the publisher.
