ORIGINAL RESEARCH article
Front. Toxicol.
Sec. Environmental Toxicology
This article is part of the Research TopicEnvironmental Toxicity in MetabolismView all 3 articles
AlCl3 exposure induces nephrotoxicity in mice by mediating ferroptosis through the NRF2 signaling pathway
Provisionally accepted- 1The Second People's Hospital of Jinzhong, jinzhong, China
- 2Youjiang Medical University for Nationalities, Baise, China
Select one of your emails
You have multiple emails registered with Frontiers:
Notify me on publication
Please enter your email address:
If you already have an account, please login
You don't have a Frontiers account ? You can register here
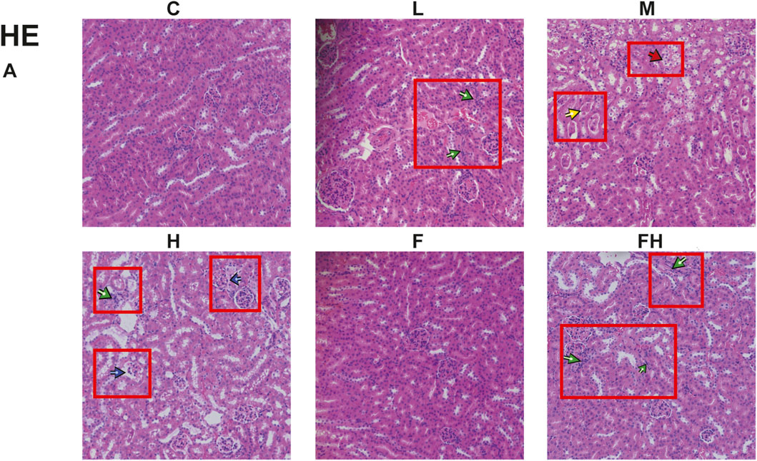
Aluminum is toxic to both humans and animals. Exposure to AlCl₃ can lead to kidney function damage, yet the specific underlying mechanism remains elusive. This study aimed to investigate whether ferroptosis is involved in the renal toxicity induced by AlCl₃ exposure in mice and to elucidate its potential molecular mechanism. Forty-eight C57BL mice were randomly assigned to six groups, with eight mice in each group: a control group, low - , medium - , and high - dose aluminum exposure groups, a ferroptosis inhibitor group, and a ferroptosis inhibitor + high - dose aluminum exposure group. Mice in the aluminum exposure groups received intraperitoneal injections of different doses of AlCl₃ solution for 4 weeks (5 times per week), while the ferroptosis inhibitor group was intraperitoneally injected with Fer - 1 for 4 weeks (2 times per week).After the experimental period, multiple indicators were examined. The results demonstrated that AlCl₃ exposure impaired the renal function and structure of mice. It also led to an increase in lipid peroxidation products, Fe²⁺, and Al content in renal tissue. Moreover, the expression levels of genes and proteins such as GPX4 and Nrf2 were decreased, whereas the expression levels of the ACSL4 gene and protein were increased.However, after pretreatment with Fer - 1, the aforementioned indicators were ameliorated. Specifically, the expression of ACSL4 decreased, and the expression of GPX4 and other related factors increased.In conclusion, this study suggests that AlCl₃ exposure may trigger ferroptosis in renal tissue cells by inhibiting the NRF2 pathway, thereby causing kidney function damage in mice. These findings provide a novel perspective on the mechanism of AlCl₃ - induced renal toxicity.
Keywords: ferroptosis, Aluminum, Ferrostatin-1, nephrotoxicity, Biological toxicity
Received: 25 Aug 2025; Accepted: 20 Oct 2025.
Copyright: © 2025 Peng, Liang, Zhao, Li, liang, zhang, Lv, Deng, Lu, Li, Huang, Huang and Peng. This is an open-access article distributed under the terms of the Creative Commons Attribution License (CC BY). The use, distribution or reproduction in other forums is permitted, provided the original author(s) or licensor are credited and that the original publication in this journal is cited, in accordance with accepted academic practice. No use, distribution or reproduction is permitted which does not comply with these terms.
* Correspondence:
Huixin Peng, 913078962@qq.com
Huixin Peng, 913078962@qq.com
Disclaimer: All claims expressed in this article are solely those of the authors and do not necessarily represent those of their affiliated organizations, or those of the publisher, the editors and the reviewers. Any product that may be evaluated in this article or claim that may be made by its manufacturer is not guaranteed or endorsed by the publisher.
