ORIGINAL RESEARCH article
Front. Toxicol.
Sec. Developmental and Reproductive Toxicology
Astragaloside IV Ameliorates Atrazine-Induced Male Reproductive Toxicity: An In vivo and In Silico Analysis
Provisionally accepted- 1Department of Anatomy, Sultan Qaboos University College of Medicine and Health Sciences, Seeb, Oman
- 2Sultan Qaboos University College of Medicine and Health Sciences, Seeb, Oman
- 3Department of Pathology, Sultan Qaboos University College of Medicine and Health Sciences, Seeb, Oman
- 4Centre of Molecular Medicine and Diagnostics, Department of Biochemistry, SIMATS Deemed University Saveetha Dental College, Chennai, India
Select one of your emails
You have multiple emails registered with Frontiers:
Notify me on publication
Please enter your email address:
If you already have an account, please login
You don't have a Frontiers account ? You can register here
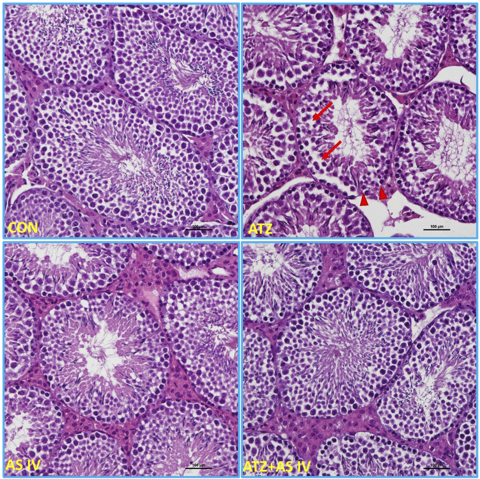
Atrazine (ATZ) stands as the most widely utilized herbicide globally, and is known for its adverse impacts on the reproductive system. Although astragaloside IV (AS IV) is well known for possessing various health benefits, its protective effects against the ATZ-induced toxicity remain unexplored. This study aimed to investigate the ameliorative potential of AS IV against ATZ-induced male reproductive toxicity in mice. Eight-week-old CD-1 mice were allocated into four groups (n=10). The ATZ and AS IV were administered at a dose of 100 mg/kg/day and 40 mg/kg/day, respectively. Treatments were continued for 21 days, followed by sacrifice for plasma biochemical analyses and testes collection for histo-pathological examination. One-way ANOVA followed by Bonferroni’s multiple comparison test was used for data analysis. Molecular docking studies were performed to evaluate ATZ and AS IV interactions with oxidative stress and inflammation-related proteins, including GSH, GPx, SOD, and Nrf2, NF-β, IL-1β, IL-6, TNF-α, cullin-3, and keap-1. Biochemical analysis revealed significant reductions in the GSH levels (p<0.001), SOD (p<0.001), and GPx activity (p<0.05), alongside elevated malonaldehyde levels (p<0.01) following ATZ exposure. AS IV treatment in ATZ-exposed mice significantly improved these markers (p<0.05). ATZ exposure led to significant decreases in testosterone (p<0.001) and androgen-binding protein (ABP) levels (p<0.001) within the ATZ group, whereas AS IV supplementation significantly improved these markers (p<0.05). Histopathological examination revealed sloughed and collapsed seminiferous epithelia with vacuoles and poorly formed spermatids in ATZ-exposed mice, which were mitigated by AS IV treatment. The docking study revealed ATZ's moderate interactions with key oxidative stress and inflammation-related proteins (binding energies: -4.7 to -5.5 kcal/mol), with glutathione (-5.5 kcal/mol) showing the strongest binding. Notable stabilizations include SOD (3 hydrogen bonds) and modulation of antioxidants (SOD, Nrf2) and anti-inflammatory (IL-1β, TNF-α) pathways. Moreover, AS IV demonstrated significant binding affinities between glutathione (-9.2 kcal/mol), cullin-3 (-9.1 kcal/mol), and keap-1 (-8.9 kcal/mol). MD simulations showed strong stability for GPx and IL-1β target against ATZ, and AS IV exhibited strong stability for GSH and cullin-3. AS IV appears to be a promising natural compound for preventing ATZ-induced male toxicity. Further investigations to elucidate the molecular mechanisms behind such positive effects are warranted.
Keywords: Atrazine, Astragaloside IV, Reproduction, Toxicity, herbicide, pollution
Received: 25 Aug 2025; Accepted: 13 Nov 2025.
Copyright: © 2025 Sirasanagandla, Al Mushaiqri, Al-Majrafi, Al- Abri, Jayaraman and Al Huseini. This is an open-access article distributed under the terms of the Creative Commons Attribution License (CC BY). The use, distribution or reproduction in other forums is permitted, provided the original author(s) or licensor are credited and that the original publication in this journal is cited, in accordance with accepted academic practice. No use, distribution or reproduction is permitted which does not comply with these terms.
* Correspondence: Isehaq Saif Al Huseini, isehaq@squ.edu.om
Disclaimer: All claims expressed in this article are solely those of the authors and do not necessarily represent those of their affiliated organizations, or those of the publisher, the editors and the reviewers. Any product that may be evaluated in this article or claim that may be made by its manufacturer is not guaranteed or endorsed by the publisher.
