ORIGINAL RESEARCH article
Front. Nutr.
Sec. Nutritional Immunology
This article is part of the Research TopicAdvances in Nutritional Strategies for Optimizing Swine Growth Performance and Gut HealthView all 9 articles
Maternal supplementation with balanced fatty acid fat powder enhances sow reproductive performance and offspring intestinal health by modulating mitochondrial fusion and cell apoptosis
Provisionally accepted- 1Hubei Key Laboratory of Animal Nutrition and Feed Science, Wuhan Polytechnic University, Wuhan, China
- 2Shandong Zhongmu Feed Technology, Binzhou, China
- 3Shandong Crelipids Biotechnology Co., Ltd, Binzhou, China
Select one of your emails
You have multiple emails registered with Frontiers:
Notify me on publication
Please enter your email address:
If you already have an account, please login
You don't have a Frontiers account ? You can register here
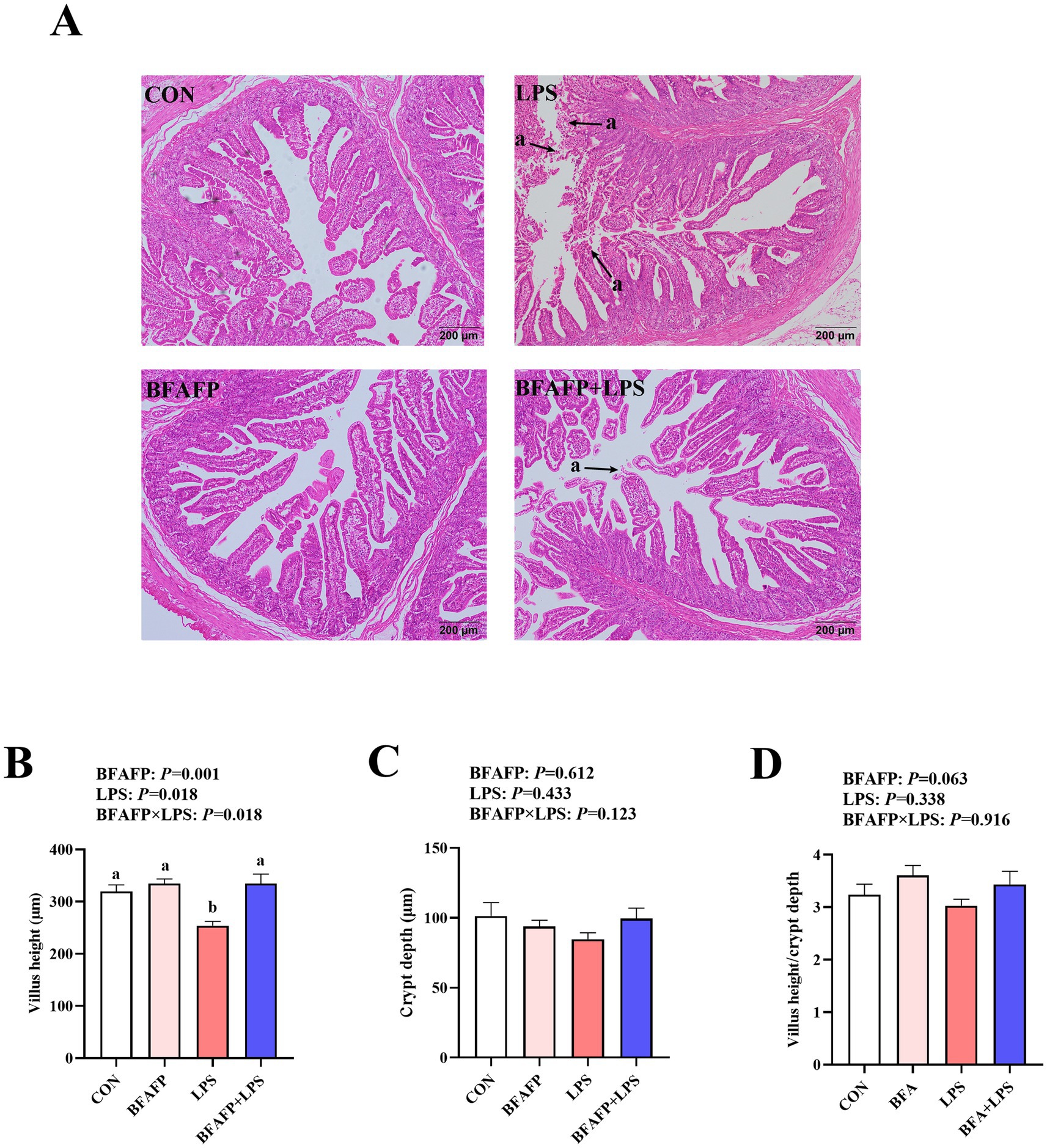
This study aimed to investigate the effects of supplementing sow diet with a balanced fatty acid fat powder (BFAFP) during late gestation and lactation on reproductive performance and offspring intestinal health, and to explore the underlying regulatory mechanisms. In Exp. 1, a total of 24 multiparous sows (d 90 of gestation) were divided into two groups including a control diet (U:S ratio: 5.08; n-6/n-3 PUFA ratio: 7.72) supplemented with 2% soybean oil and an experimental diet containing 2% BFAFP (U:S ratio: 2.98; n-6/n-3 PUFA ratio: 3.13). At farrowing, sow blood and colostrum were collected. In Exp. 2, at d 21 of lactation, twenty-four suckling piglets were chosen and used in a 2 × 2 factorial arrangement and the main factors including diet (maternal supplementation of soybean oil or BFAFP) and lipopolysaccharide (LPS) challenge (saline or 100 μg/kg BW LPS injection). At 4 h post LPS injection, suckling pigs were killed for intestinal tissue sample collection. Compared with soybean oil, maternal supplementation with BFAFP not only significantly enhanced the number of weaned piglets, weaning survival rate, and milk yield (P < 0.05), but also showed trends for increasing total litter weight at weaning (P = 0.073), total litter weight gain (P = 0.058), and individual piglet daily gain (P = 0.074). Maternal BFAFP supplementation increased the concentrations of lactose, protein and non-fat solids as well as IgA and IgM concentrations in colostrum (P < 0.05). Moreover, maternal BFAFP supplementation significantly increased jejunal villus height post-LPS challenge in piglets (P < 0.05). Maternal BFAFP supplementation also reduced jejunal mRNA expression of tumor necrosis factor α, and interleukin-1 β and mitigated LPS-induced downregulation of claudin-1 mRNA (P < 0.05). Moreover, Maternal BFAFP supplementation upregulated jejunal mRNA and protein expression of mitofusin-1 and mitofusin-2 after LPS challenge (P < 0.05). Finally, maternal BFAFP suppressed jejunal mRNA expression of caspase-3 and caspase-9 in piglets after LPS challenge (P < 0.05). Collectively, maternal BFAFP supplementation enhanced sow reproductive performance and offspring growth while protecting offspring against LPS-induced intestinal damage, likely through promoting mitochondrial fusion and attenuating inflammatory response and cell apoptosis.
Keywords: balanced fatty acids, Intestinal health, mitochondrial fusion, cell apoptosis, pigs
Received: 21 Aug 2025; Accepted: 06 Nov 2025.
Copyright: © 2025 Xiao, Zhang, Zhang, Liu, Guo, Zhao, Xu, Chen and Liu. This is an open-access article distributed under the terms of the Creative Commons Attribution License (CC BY). The use, distribution or reproduction in other forums is permitted, provided the original author(s) or licensor are credited and that the original publication in this journal is cited, in accordance with accepted academic practice. No use, distribution or reproduction is permitted which does not comply with these terms.
* Correspondence: Yulan Liu, yulanflower@126.com
Disclaimer: All claims expressed in this article are solely those of the authors and do not necessarily represent those of their affiliated organizations, or those of the publisher, the editors and the reviewers. Any product that may be evaluated in this article or claim that may be made by its manufacturer is not guaranteed or endorsed by the publisher.
