CASE REPORT article
Front. Pediatr.
Sec. Pediatric Infectious Diseases
Diagnosis of Salmonella enterica-Induced Septic Arthritis in a Healthy Child Using Metagenomic Next-Generation Sequencing: A Case Report
Provisionally accepted- Sichuan University West China Second University Hospital, Chengdu, China
Select one of your emails
You have multiple emails registered with Frontiers:
Notify me on publication
Please enter your email address:
If you already have an account, please login
You don't have a Frontiers account ? You can register here
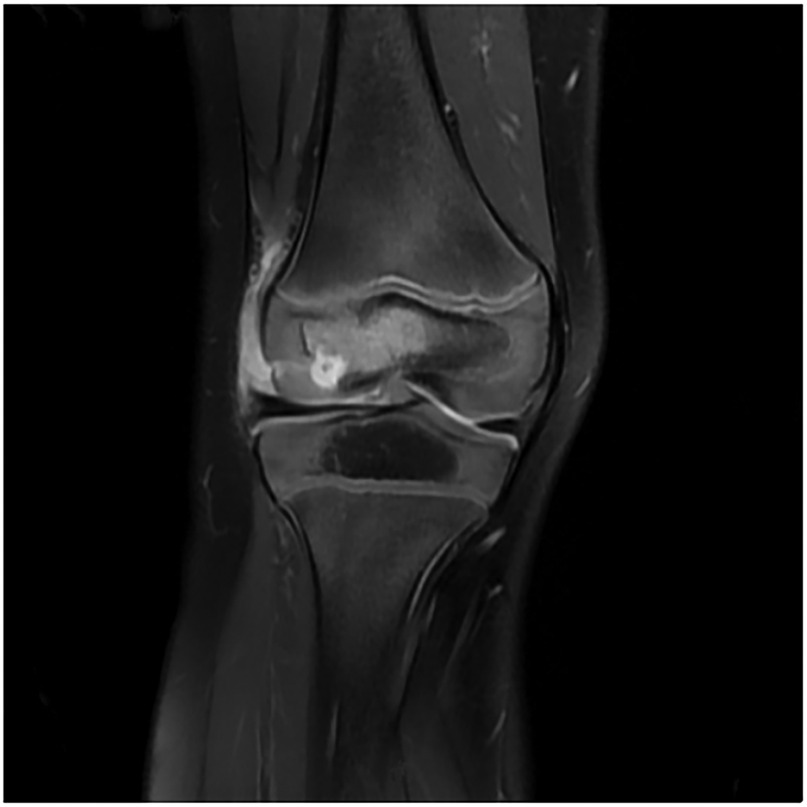
Salmonella enterica-induced arthritis frequently manifests in children with malignancies, sickle cell disease, immunodeficiency, or undergoing immunosuppressive therapy; however, its incidence in healthy children is rare. Here, we present a case of septic arthritis resulting from S. enterica infection in a previously healthy child, diagnosed utilizing metagenomic next-generation sequencing (mNGS). This case underscores the utility of mNGS in the clinical identification of S. enterica arthritis. Particularly in scenarios where the causative pathogen remains unidentified, mNGS emerges as a pivotal adjunctive diagnostic modality for uncommon pathogens.
Keywords: MNGs, Salmonella enterica, septic arthritis, Healthy child, case report
Received: 12 Sep 2025; Accepted: 06 Nov 2025.
Copyright: © 2025 Ren and Liao. This is an open-access article distributed under the terms of the Creative Commons Attribution License (CC BY). The use, distribution or reproduction in other forums is permitted, provided the original author(s) or licensor are credited and that the original publication in this journal is cited, in accordance with accepted academic practice. No use, distribution or reproduction is permitted which does not comply with these terms.
* Correspondence: Qiong Liao, 33765410@qq.com
Disclaimer: All claims expressed in this article are solely those of the authors and do not necessarily represent those of their affiliated organizations, or those of the publisher, the editors and the reviewers. Any product that may be evaluated in this article or claim that may be made by its manufacturer is not guaranteed or endorsed by the publisher.
